Introducing the Invisalign® System with mandibular advancement featuring occlusal blocks

The first integrated clear aligner product from Align with solid blocks to minimize crushing is designed to treat Class II malocclusion while simultaneously aligning the teeth. 

image-hero-girl-putting-in-invisalign
image-hero-girl-putting-in-invisalign
image-hero-girl-putting-in-invisalign
image-hero-girl-putting-in-invisalign

Learn more about transforming your approach to Class II cases

video image
video image

The Invisalign® System is redefining Class II treatment in growing patients.

  • Efficient treatment.


  • Elevated patient comfort1
and compliance2.

  • Predictable tooth movement.

The Invisalign System with mandibular advancement featuring occlusal blocks minimizes the need for multiple appliances to treat Class II malocclusions while simultaneously aligning the teeth. It is made from our proprietary SmartTrack™ material, which is predictable and more comfortable1. Which is important, because patient comfort plays an important role in adherence to prescribed wear times and achieving 
optimal outcomes2.

image-text-and-media-girl-looking-at-phone
image-text-and-media-girl-looking-at-phone
image-text-and-media-girl-looking-at-phone
image-text-and-media-girl-looking-at-phone

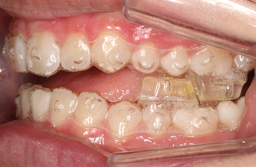
How occlusal blocks work

  1. Invisalign clear aligners with integrated blocks are positioned on the occlusal surface.

  2. When the patient occludes in the forward position, the occlusal blocks engage in advancing and holding the mandible. 

  3. The system moves the jaw forward while simultaneously moving teeth and treats Class II malocclusion, including cases with severe deep bite.

image-text-and-media-teeth-occusional-blocks
image-text-and-media-teeth-occusional-blocks
image-text-and-media-teeth-occusional-blocks
image-text-and-media-teeth-occusional-blocks

Clinical use cases

The Invisalign System with mandibular advancement featuring occlusal blocks is a new treatment innovation designed to treat all types of Class II malocclusions including cases with severe deep bite.

image-big-card-girl-showing-jawline-pattern
image-big-card-girl-showing-jawline-pattern

Brachyfacial

“Short” facial profiles with a low mandibular angle and deep overbite.

image-large-card-women-showing-jawline
image-large-card-women-showing-jawline

Mesofacial

“Normal or neutral” facial profile with deep overbite.

Need more information on Invisalign treatment with mandibular advancement?

  1. Compared to aligners made from single layer (EX30) material

  2. Studies show that patient discomfort with functional appliances affect patient compliance with the prescribed wear time and could lead to unsatisfactory outcomes.
https://pubmed.ncbi.nlm.nih.gov/34949565/