invis is
treatment that fits your patients.

From simple tooth movement to more complex cases, Invisalign® clear aligner therapy can help you achieve your clinical goals.1

Black woman's smile before her Invisalign® treatmentBlack woman's smile after her Invisalign® treatment
Black woman's smile before her Invisalign® treatmentBlack woman's smile after her Invisalign® treatment

See what Invisalign® treatment can do.

Choose any type of case below and slide between ‘Before’ and ‘After.’

Class II

Class III

Anterior Crossbite

Spacing

Open Bite

Crowding

Deep Bite

Extraction

Mandibular Advancement

Midline Discrepancy

Narrow Arches

Phase I Treatment

Posterior Crossbite

Surgical Treatment

Generally Straighter Teeth

Class II

Class III

Anterior Crossbite

Spacing

Open Bite

Crowding

Deep Bite

Extraction

Mandibular Advancement

Midline Discrepancy

Narrow Arches

Phase I Treatment

Posterior Crossbite

Surgical Treatment

Generally Straighter Teeth

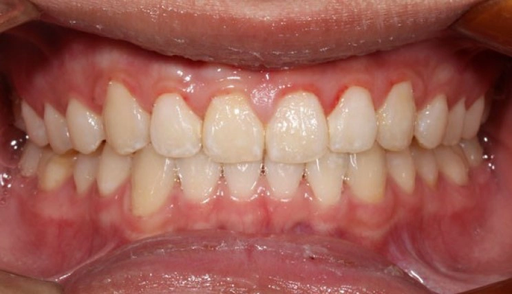
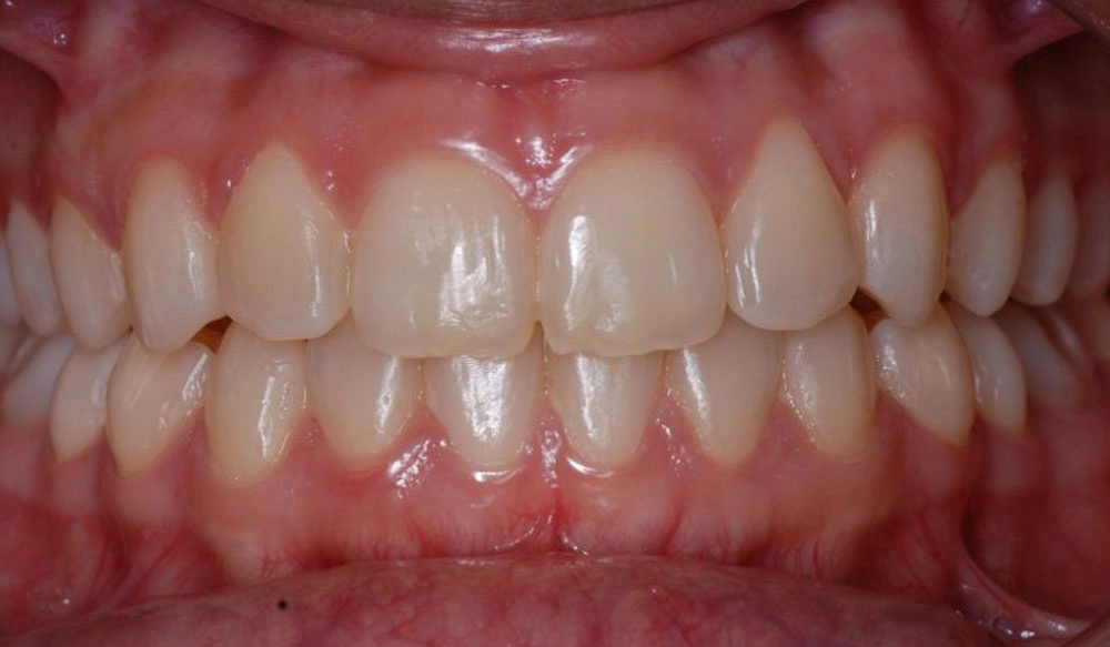
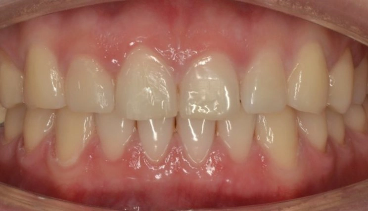
Class II

Class II tooth case before Invisalign® treatmentClass II tooth case after Invisalign® treatment
BeforeAfter
Class II tooth case before Invisalign® treatmentClass II tooth case after Invisalign® treatment
BeforeAfter

Class II — or "overbite" — is the condition in which the mesiobuccal cusp of the upper first molar is positioned mesially to the mesiobuccal groove of the lower first molar instead of both being aligned, affecting the occlusal relationship between both dental arches.

Patient Information:
Age: 24
Gender: Female
Invisalign Treatment Option: Invisalign Comprehensive

Total Treatment Time:
21 Months

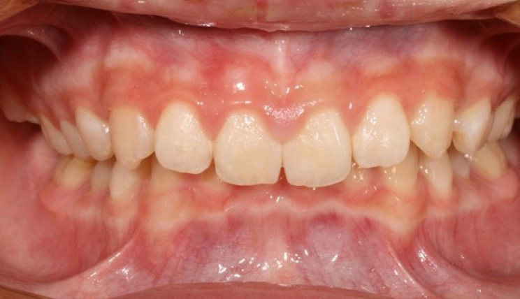
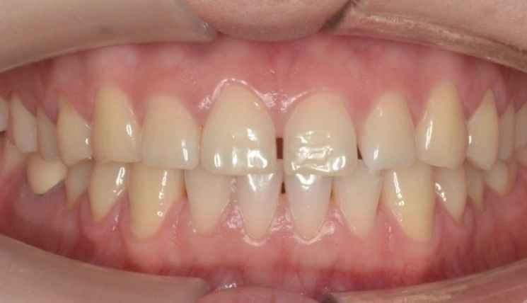
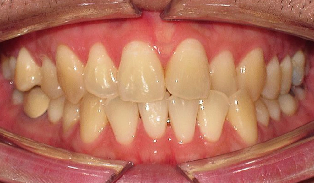
Class III

Class III tooth case before Invisalign® treatmentClass III tooth case after Invisalign® treatment
BeforeAfter
Class III tooth case before Invisalign® treatmentClass III tooth case after Invisalign® treatment
BeforeAfter

Class III — or “underbite” — is the condition in which the mesiobuccal cusp of the upper first molar is positioned distally to the mesiobuccal groove of the lower first molar instead of both being aligned, affecting the occlusal relationship between both dental arches.

Patient Information:
Age: 27
Gender: Female
Invisalign Treatment Option: Invisalign Comprehensive

Total Treatment Time:
28 months

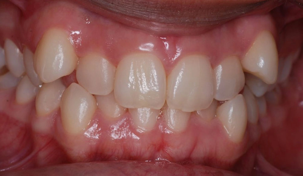
Anterior Crossbite

Anterior crossbite tooth case before Invisalign® treatmentAnterior crossbite tooth case after Invisalign® treatment
BeforeAfter
Anterior crossbite tooth case before Invisalign® treatmentAnterior crossbite tooth case after Invisalign® treatment
BeforeAfter

Anterior crossbite is the abnormal labiolingual relationship between one or more upper and lower anterior teeth, resulting in the upper teeth being positioned lingual to the lower teeth.

Patient Information:
Age: 31
Gender: Male
Invisalign Treatment Option: Invisalign Comprehensive

Total Treatment Time:
17 months

Spacing

Spacing tooth case before Invisalign® treatmentSpacing tooth case after Invisalign® treatment
BeforeAfter
Spacing tooth case before Invisalign® treatmentSpacing tooth case after Invisalign® treatment
BeforeAfter

Spacing — or “gap teeth” — is the condition in which there is excessive space between adjacent teeth in the dental arch.

Patient Information:
Age: 29
Gender: Male
Invisalign Treatment Option: Invisalign Go

Total Treatment Time:
7 months

Open Bite

Open bite tooth case before Invisalign® treatmentOpen bite tooth case after Invisalign® treatment
BeforeAfter
Open bite tooth case before Invisalign® treatmentOpen bite tooth case after Invisalign® treatment
BeforeAfter

Open bite is the condition in which there is no vertical overlap of anterior teeth in centric occlusion. It can be limited to the anterior teeth or include some posterior teeth as well.

Patient Information:
Age: 29
Gender: Female
Invisalign Treatment Option: Invisalign Comprehensive

Total Treatment Time:
19 months

Crowding

Crowding tooth case before Invisalign® treatmentCrowding tooth case after Invisalign® treatment
BeforeAfter
Crowding tooth case before Invisalign® treatmentCrowding tooth case after Invisalign® treatment
BeforeAfter

Crowding is the condition in which there is a discrepancy between tooth size and space available for the teeth to be aligned in the dental arch

Patient Information:
Age: 17
Gender: female
Invisalign Treatment Option: Invisalign Comprehensive

Total Treatment Time:
29 months

Deep Bite

Deep bite tooth case before Invisalign® treatmentDeep bite tooth case after Invisalign® treatment
BeforeAfter
Deep bite tooth case before Invisalign® treatmentDeep bite tooth case after Invisalign® treatment
BeforeAfter

Deep bite is the condition in which the vertical overlap of anterior teeth in centric occlusion is larger than 30 – 40%.

Patient Information:
Age: 13
Gender: Male
Invisalign Treatment Option: Invisalign Comprehensive

Total Treatment Time:
24 months

Extraction

Extraction tooth case before Invisalign® treatmentExtraction tooth case after Invisalign® treatment
BeforeAfter
Extraction tooth case before Invisalign® treatmentExtraction tooth case after Invisalign® treatment
BeforeAfter

Extraction is the removal of one or more teeth when a large amount of space needs to be created to align and create a correct occlusal relationship between the remaining teeth.

Patient Information:
Age: 16
Gender: Female
Invisalign Treatment Option: Invisalign Comprehensive

Total Treatment Time:
16 months

Mandibular Advancement

Mandibular advancement case before Invisalign® treatmentMandibular advancement case after Invisalign® treatment
BeforeAfter
Mandibular advancement case before Invisalign® treatmentMandibular advancement case after Invisalign® treatment
BeforeAfter

Invisalign® treatment with mandibular advancement is aimed for growing patients presenting with retrognathic Class II malocclusions in permanent dentition or stable late mixed dentition. The special feature of precision wings are integrated into the Invisalign aligners.

Patient Information:
Age: 14
Gender: male
Invisalign Treatment Option: Invisalign Teen with MA

Total Treatment Time:
36 months

Midline Discrepancy

Midline discrepancy tooth case before Invisalign® treatmentMidline discrepancy tooth case after Invisalign® treatment
BeforeAfter
Midline discrepancy tooth case before Invisalign® treatmentMidline discrepancy tooth case after Invisalign® treatment
BeforeAfter

Midline discrepancy is the condition in which there is a misalignment of the midsagittal line of maxillary and mandibular arches respectively and/or relative to the facial midline.

Patient Information:
Age: 28
Gender: Female
Invisalign Treatment Option: Invisalign Comprehensive

Total Treatment Time:
16 months

Narrow Arches

Narrow arches tooth case before Invisalign® treatmentNarrow arches tooth case after Invisalign® treatment
BeforeAfter
Narrow arches tooth case before Invisalign® treatmentNarrow arches tooth case after Invisalign® treatment
BeforeAfter

Narrow arches is the condition in which the transverse width of the maxillary and/or mandibular arches is too narrow for the teeth to properly align and have good occlusal contact.

Patient Information:
Age: 21
Gender: Female
Invisalign Treatment Option: Invisalign Comprehensive

Total Treatment Time:
11 months

Phase I Treatment

Phase I tooth treatment case before Invisalign® treatmentPhase I tooth treatment case after Invisalign® treatment
BeforeAfter
Phase I tooth treatment case before Invisalign® treatmentPhase I tooth treatment case after Invisalign® treatment
BeforeAfter

Interceptive treatment for young patients (6-10 years old): Early treatment can be in a patient’s best interests if their problem is one that could become more serious over time if left untreated. - Intercept the developing problem; Eliminate the cause; Guide the growth of facial and jaw bones; Provide adequate space for incoming permanent teeth.

Patient Information:
Age: 9
Gender: Male
Invisalign Treatment Option: Invisalign Teen with MA

Total Treatment Time:
13 months

Posterior Crossbite

Posterior crossbite tooth case before Invisalign® treatmentPosterior crossbite tooth case after Invisalign® treatment
BeforeAfter
Posterior crossbite tooth case before Invisalign® treatmentPosterior crossbite tooth case after Invisalign® treatment
BeforeAfter

Posterior crossbite is the abnormal labiolingual relationship between one or more upper and lower posterior teeth, resulting in the upper teeth being positioned lingual to the lower teeth, or the upper teeth being positioned so buccal to the lower teeth their lingual face slides against the lowers buccal face.

Patient Information:
Age: 24
Gender: Female
Invisalign Treatment Option: Invisalign Comprehensive

Total Treatment Time:
29 months

Surgical Treatment

Surgical treatment tooth case before Invisalign® treatmentSurgical treatment tooth case after Invisalign® treatment
BeforeAfter
Surgical treatment tooth case before Invisalign® treatmentSurgical treatment tooth case after Invisalign® treatment
BeforeAfter

Surgical treatment can be used in conjunction with Invisalign Aligners to correct a skeletal discrepancy causing a malocclusion.

Patient Information:
Age: 21
Gender: Male
Invisalign Treatment Option: Invisalign Comprehensive

Total Treatment Time:
21 months

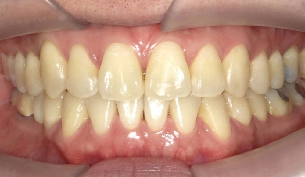
Generally Straighter Teeth

Generally straighter teeth case before Invisalign® treatmentGenerally straighter teeth case after Invisalign® treatment
BeforeAfter
Generally straighter teeth case before Invisalign® treatmentGenerally straighter teeth case after Invisalign® treatment
BeforeAfter

Some smiles don’t have anything “wrong” with them at all — but small fixes can make a big difference in a patient’s life. With Invisalign® treatment, your patients can now get a smile they’ll love up to 50 percent faster. 2 3

Patient Information:
Age: 62
Gender: Female
Invisalign Treatment Option: Invisalign Comprehensive

Total Treatment Time:
13 months

A solution for the whole family.

Woman laughing at the camera
Woman laughing at the camera

Invisalign for adults

The Invisalign® system was designed to help you do it all — from creating digital impressions to keeping transformed smiles in place.

Girl teen smiling and pointing at her teeth
Girl teen smiling and pointing at her teeth

Invisalign for teens

Using cutting-edge technology, like Invisalign® Mandibular Advancement with Enhanced Precision Wings, you can provide innovative treatment for growing teens and tweens.

Little boy on blue t-shirt smiling
Little boy on blue t-shirt smiling

Invisalign for kids

Invisalign® Palatal Expanders and Invisalign First aligners provide doctors with a full early intervention treatment solution, including both skeletal (orthopedic) and dental (orthodontic) arch expansion.

Woman laughing at the camera
Woman laughing at the camera

Invisalign for adults

The Invisalign® system was designed to help you do it all — from creating digital impressions to keeping transformed smiles in place.

Girl teen smiling and pointing at her teeth
Girl teen smiling and pointing at her teeth

Invisalign for teens

Using cutting-edge technology, like Invisalign® Mandibular Advancement with Enhanced Precision Wings, you can provide innovative treatment for growing teens and tweens.

Little boy on blue t-shirt smiling
Little boy on blue t-shirt smiling

Invisalign for kids

Invisalign® Palatal Expanders and Invisalign First aligners provide doctors with a full early intervention treatment solution, including both skeletal (orthopedic) and dental (orthodontic) arch expansion.

1 /3
  1. Actual patient results shown. The before/after smiles were applied to the same face photo for visual emphasis

  2. Data on File at Align Technology as of January 13, 2022.

  3. Data on file at Align Technology, as of July 31, 2021.

AlignTech Case NoAligners
Teen Class II Upper onWhite

Need more information on Invisalign® treatments?